Retainers Nashville A Straightened Smile for Life
- 300+ 5-star reviews on Google
- Transformed 1,500+ smiles
- Repairing, replacing, and providing retainers
Creating Beautiful Smiles
Long-Term Results for Your Smile
Once you’ve straightened your smile with braces or Invisalign, you have to protect it with a retainer. Retainers hold your teeth in their newly aligned positions so they don’t revert back to their old positions. Nashville patients choose Avenue South Orthodontics for every step of their orthodontic treatment plan because we:
- Treat patients with respect, listen to their concerns, and develop tailored plans to achieve their goals
- Welcome children, teens, and adults who want to create and maintain their dream smiles
- Have over 300 5-star reviews on Google from satisfied Nashville patients
If you’re ready to begin orthodontic treatment or you simply need a new retainer in Nashville, TN, we invite you to contact Avenue South Orthodontics.

“Best orthodontist in Nashville!”
Really impressed with the solutions and customer service provided around my retainer needs, even with me having moved out of state. My teeth had shifted slightly after work done years ago and they set me up with a retainer that could move things ever so slightly to improve my bite. Highly recommend!
View on GoogleMost definitely the best orthodontist in Nashville! You will feel right home, and their skill is top notch. Everyone is very friendly and makes you feel comfortable throughout the entire process. I highly suggest this office!
View on GooglePaying for Orthodontics
At Avenue South Orthodontics, we want a beautiful and healthy smile to be well within reach for every patient, no matter their budget. To this end, our Nashville office:
Offers Free Consultations
It costs our patients nothing to meet with Dr. Foltz and determine their options. Dr. Foltz will spend about an hour with you to inquire about your goals, assess your oral health, and develop a treatment plan based on your unique needs.
Accepts Insurance
We work with most dental insurance providers to help reduce your out-of-pocket costs. Our friendly staff will even file all the necessary paperwork and help you maximize your benefits.
Offers Financing
We offer in-house financing options with a down payment. Our financing plans won’t impact your credit score and we have flexible due dates on the 1st and 15th of the month.
Has a Smile Protection Program
Life happens, and sometimes patients lose or damage their retainers. With our Smile Protection Program, you can replace your retainer for a small co-payment instead of paying full price. Call our Nashville office for details.
Preserve Your Results
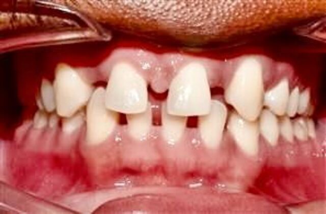
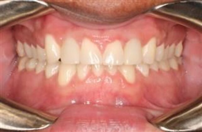
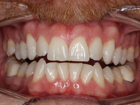
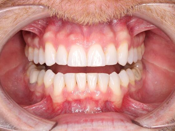
You’ve invested a lot of time, attention, and money into your beautiful new smile, and a retainer makes it possible to protect your results. With a retainer, your teeth will shift out of their newly aligned positions and revert back to their original state. A retainer will hold your teeth in their new positions.
After your orthodontic treatment, Dr. Foltz will instruct you on how often and for how long to wear your retainer to protect your results.

Caring for Your Retainer
When cared for properly, a removable retainer can last for 5-10 years and a permanent retainer can last for decades. Some simple care instructions you should follow include:
- If you have a fixed retainer, brush your teeth regularly and floss around it.
- Remove your removable retainer when you’re brushing, flossing, eating, or drinking anything other than water.
- Brush your removable retainer once a day with a soft toothbrush, mild soap, and lukewarm water.
- Store your removable retainer in its protective case when it’s not in use.
- Brush and floss your teeth before placing your retainer back in your mouth.
- If your retainer breaks, call us so we can repair or replace it.
FAQ About Retainers
How long must I wear my retainer?
This varies from patient to patient, but Dr. Foltz will give you instructions after your orthodontic treatment. Many patients have to wear their retainer full-time for about four to six months, then every night indefinitely.
Does wearing a retainer hurt?
Your retainer will be custom-made to fit over your teeth, so it should be comfortable. If you forget to wear your retainer for a while, then start wearing it again, you may experience some discomfort as your retainer nudges your teeth back into alignment. You may also feel discomfort if your retainer is broken or cracked.
I broke/lost my retainer. What should I do?
Call us! If you lost your retainer, broke it, or it’s worn out over time, we’ll fit you in for an appointment as soon as we can. During this appointment, we may fix your retainer or take digital impressions of your teeth to create a new custom retainer.
Why should I see an orthodontist?
Your general dentist may offer orthodontic solutions, but an orthodontist has completed additional training in diagnosing and treating skeletal irregularities. They may be a better fit for your needs, especially if your case is complex.
“Kind and helpful!”
The staff in this office are kind and helpful, and the doctor is excellent! I absolutely recommend this place!
View on Google
Got a new retainer through Avenue South and they were quick and professional and wish I had gone to them first.
View on Google



